Research
Stilbenes: Nature’s Secret to Youthful, Healthy...
What Are Stilbenes? Stilbenes are naturally occurring plant antioxidants that help neutralize free radicals, the unstable molecules that damage proteins, DNA, and collagen. In skin models and early human studies,...
Stilbenes: Nature’s Secret to Youthful, Healthy...
What Are Stilbenes? Stilbenes are naturally occurring plant antioxidants that help neutralize free radicals, the unstable...
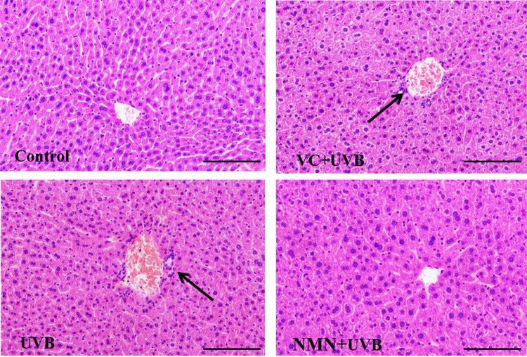
NMN Injection Protects Against UV Damage to Skin
A new study provides evidence that NMN administered by intraperitoneal injection protects against UV damage. Interestingly, the effect is much stronger than in studies in which NR or NMN are...
NMN Injection Protects Against UV Damage to Skin
A new study provides evidence that NMN administered by intraperitoneal injection protects against UV damage. Interestingly,...
Topics
Tags
5-HTP
aging
Aging & Longevity
akg
allergies
alpha-ketoglutarate
anxiety
apigenin
ARDD
Ashwagandha
asthma
autoimmune
autophagy
berberine
bioavailability
Bioavailability & Liposomes
blood pressure
bone
Bone & Muscle
bones
BPC-157
brain health
breast milk
caakg
cardiovascular
cd37
cd38
cellular aging
chronic disease
coenzyme q10
cognition
collagen
coq10
creatine
crocin of saffron
david sinclair
delivery system
dental health
diet
Diet & Fitness
egcg
exercise
Fisetin
fitness
genetics
glutathione
glycine
Green Tea
gut health
hallmarks aging
healthspan
heart health
hesperidin
HLA
Hormonal Health
HPLC
human
humans
hyaluronic acid
immune system
inflammation
insulin sensitivity
intranasal
joint health
kidney
lifespan
lifestyle
liposomal
liposome
liver
lung health
MCI
metabolic health
metabolism
methylation
microbiome
migraine
mitochondria
mood
muscle
muscle mass
nad
NAD levels
NAD+
NAD+ research
NAD+ supplementation
NAFLD
nam
nanoparticle
neurodegeneration
neuroinflammation
neurological
niacin
nmn
NMN supplementation
nmnh
nr
NRH
obesity
Organ Health
oxidative stress
p.e.a.
pain
palmitoylethanolamide
PEA
personalization
pet longevity
quercetin
regeneration
reproductive health
Resveratrol
scfa
senescence
sepsis
shilajit
sirtuin
skin aging
Skin Care
skincare
Slc12a8
sleep
Spermidine
sports
stem cells
Stilbenes
stress
Stress & Mood
testosterone
TMG
trigonelline
vitamin c
weight loss